2006年05月15日
■歯は履歴書
前回は、18歳の悲惨な歯をしている少年院に入所している口を紹介した。
(写真1)

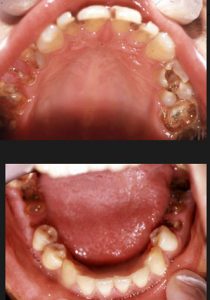
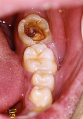
ここにもう1枚、18歳の少年の口の写真がある。
(写真2 先に見てください。)

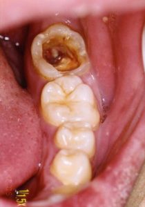
第2大臼歯だけがひどい齲蝕だが、それ以外はむしろきれいである。
さてこれはどんな少年の口だろうか?
どうして第2大臼歯だけがひどいのだろう?
ちょっと考えていただきたい。
単に歯を磨かなかっただけなのだろうか?
それとも他に理由があるのか?
いろいろな推理が頭を過ぎる。
萠出直後は、齲蝕感受性が高く齲蝕になりやすい。
第1大臼歯は、健全であるから、小学校低学年までの口腔環境は非常に良かったのだろう。
また第1・2小臼歯の様子からも小学校中・高学年頃も問題ない。
さて、第2大臼歯の齲蝕感受性の高い時期は、中学生である。
この頃は、保護者や社会に対して反抗的となる思春期でもある。
すなわち、この時期に何かが起こった可能性がある。
この写真は前回と同様、少年院に入所している少年のものなのだ。
さて少年犯罪と一口に言っても殺人・暴行などの凶悪犯、万引きなどの窃盗犯、さらには覚せい剤取締まり法違反など、さまざまなものがある。
その少年達を別の切り口で二つに分けることができる。
一つは、単独もしくは集団のリーダー格で凶悪犯罪のため入所している少年。
すなわち主体的な悪(ワル)。
もう一つは、周りの悪い仲間に引っ張られ非行を犯した少年だ。
すなわち従属的な悪と言える。
実は、前者の写真(写真1)は主体的な悪、後者(写真2)は従属的な悪のものだ。
両者の口腔内と犯罪を比較すると、その背景が歯科医師としてわかる気がしないだろうか?
前者の犯罪の根は、幼児期の頃からの家庭環境にあり、後者は思春期における挫折と考えられる。
前者は、愛情不足の家庭環境が作り出した可能性が高い。
一方、後者の保護者はかつて齲蝕予防に熱心であったに違いない。
しかし何かが足らなかったことが、非行への道を歩ませたのだろう。
思春期で自分を見失っていた時に、悪い仲間に誘われたかもしれない。
あるいは、保護者の過保護・過干渉に対する反抗かもしれない。
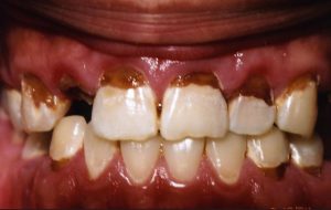
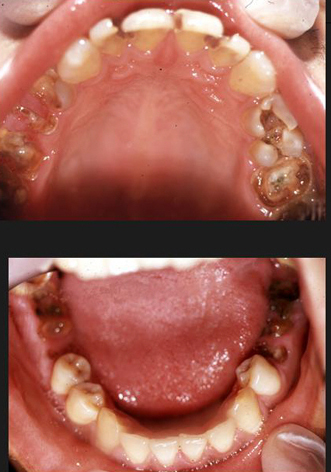
ここで、もう1枚写真を紹介する。
(写真3)

これも少年院に入所していた少年である。
上顎前歯部の齲蝕の位置を診れば、非行の根が芽生えた時期が想像できる。
歯は、まさに履歴書なのだ。
今年も学校歯科検診のシーズンが訪れている。
子ども達の口を診ながら、子ども達の心をも把握した検診にしたいものである。