2006年05月01日
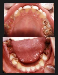
唐突であるが、これは18歳の悲惨な少年の口腔である。(図1)
先に写真をご覧ください。
図1

この歯では、せいぜい前歯でうどんを咬み切って、丸飲みする位の食べ方しかできないだろう。
さて彼は、どのような経過でこのような状態になったのだろうか?
ちょっと考えていただきたい。
歯を磨かなかったから、このような状態になったのか?
単にむし歯を放置していたからなったのか?
それとも歯の治療が嫌だったからなのか?
小さい頃に歯の治療で痛い思いをして歯科恐怖となったのか・・・・
だとしたら、同じ歯科医の一人として、反省するべき余地がある。
いずれにせよ、きっと乳幼児期からひどいむし歯であったに違いない。
それでは何故、乳歯の時からひどいむし歯であったのか?
保護者が、子どもの歯に興味を持っていなかったのか?
それとも、そもそも子どもに興味がないのか?
ところで最近、児童虐待と歯科疾患の関係が話題を呼んでいる。
米国の小児歯科の雑誌では、この件について十数年前から記事となっていた。
歯科医師は、虐待による歯の外傷を最初に発見する可能性があると述べられていた。
だから、児童虐待を通報しないと歯科医師免許の剥奪にもつながるという。
さて東京都歯科医師会の調査によると、虐待を受けていた乳幼児の齲蝕罹患者率は、同年齢児の約2倍、一人平均齲蝕歯数は3倍、未処置歯は約6倍。
なかでも2歳未満児の一人平均齲蝕歯数は約7倍となっている。
次に学童では、7・8歳児の齲蝕罹患者率・12歳児の一人平均齲蝕歯数もそれぞれ、2倍・3倍である。
そして12歳児の処置は,同年齢児の約3割しかなされていない。
もちろん、齲蝕や未処置歯だけから虐待を疑うのは、少々危険である。
しかし、子どもに対する関心のなさ。
これがむし歯をつくり、虐待につながっているのだろう。
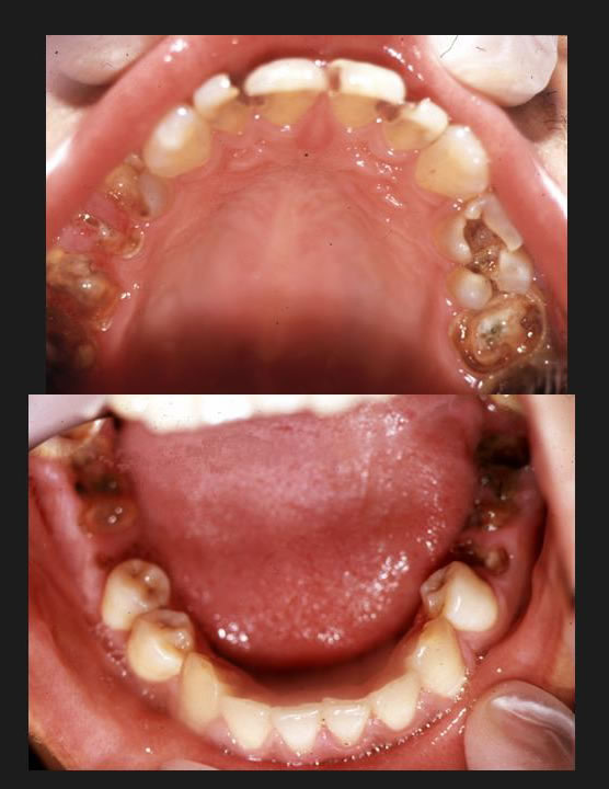
さて、冒頭で18歳の少年の写真をご覧いただいた。
この写真、実は少年院で撮影したものである。
重い罪を犯した、多くの少年達は、このような口をしていた。
この背景が、乳歯列に源があるとしたら、その時期の育児環境が犯罪の根源でもある。
すなわち犯した罪は、乳幼児期の家庭環境に端を発していると考えるならば、この少年だけを責めるわけにはいかない。
児童虐待は、今後も増加するだろう。
でも一般人にとってこの問題は、一つの家庭の問題・一つの親の問題と捉えがちである。
しかし、これは大きな誤りである。
虐待されてきた子ども達は、将来どのような人間になるだろう。
乳幼児にとって絶対的な存在である両親を信じられないことは、あまりにも悲しい。
他人や社会を信じられない遠因ともなりうるだろう。
このことは、さらなる少年犯罪の増加にもつながるだろう。
虐待は、社会全体の問題なのである。
歯科医師は、口を診ながら虐待の可能性を模索し、彼らを救う手段を講じる必要があることがわかる。