2007年11月05日
乳歯は、下顎前歯から生え始める。上顎前歯や臼歯からでも良いのに、どうして下顎前歯からなのだろう?今回から、この不思議について考えてみたいと思う。
さて、手元に1枚の結婚式の披露宴での写真がある。新しい門出を祝う写真だ。
幸せそうな新婦の横には、ご両親が一緒に写っている。今回の主人公であるAさんは53歳。新婦の母親である。実は、ここには写っていないが、横ではAさんが倒れないように、ささえている方がいる。やっとのことで撮った写真なのである。この方の〝ある劇的な変化”ついて述べてみよう。
数年前のある日、車の運転中に、解離性の大動脈瘤で失神し緊急入院した。解離による激痛でショック症状を呈し、48時間以内に約半数が破裂し命を落とす循環器疾患である。大動脈の人工血管置換術と血管の再建術を行なわれたが、約21時間におよぶ大手術であった。
手術に先立ち、病巣感染の予防のために左側の上顎犬歯以外すべて抜歯された。
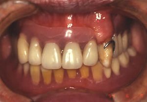
手術は成功したが、意識はあるものの終日朦朧とした状態であり、起立障害や発声障害、記憶障害などがあった。義歯を作製したが、舌ジスキネジアのため、安定せず装着不可能な状態であった。(図1)
図1

手術1年後、これ以上入院しても良くなる様子がないので退院した。家では、寝たきりの生活。そこで家族は、知人を通じ、ある歯科医師にインプラントを依頼した。初診時、2人の付き添い人に抱きかかえるようにして来院された。
患者さんの表情は、目はうつろで言葉もなく意志の疎通がはかれない。口の中を診ると、義歯は口唇圧を排除するため、下顎の前歯部唇側が削られていた。)(図2)
図2

また舌のジスキネジアのため数秒に1回の割合で、舌が残された犬歯に向かい突出を繰り返していた。(図3)
図3

主治医に紹介状を書いたが、舌のジスキネジアのため無理をしない方が良いとの返答だった。(図4)
図4

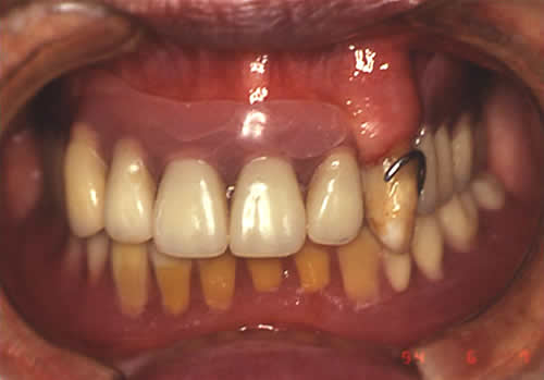
しかし、紹介の患者さんであったため、下顎前歯部にインプラントをいれることにした。そして、その上に義歯を装着した。(図5,6)
図5

図6

その結果、劇的にADLが高くなった。(表1,2)
表1

(表2)

現在では、定期的に病院に行くことが楽しみにしておられるそうだ。病院のスタッフが、あまりによくなった様子に驚き、ヒソヒソ話をする。その様子を見るのが楽しみだそうだ。
さて、〝どうしてこの患者さんは、ここまで良くなったのだろう?”次回までに、その理由を考えていただきたい。
(謝辞: 名古屋市開業 大原敏正先生の御厚意により貴重な資料を掲載させていただきました。御礼を申し上げます。)
□■ 岡崎先生のホームペ-ジ http://leo.or.jp/Dr.okazaki/