2005年09月20日
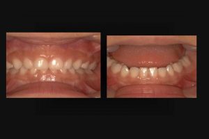
最近、乳歯の過蓋咬合の小児が増加しているような気がしてならない。(図1)
図1

これは筆者の思い過ごしであろうか?
以前、過蓋咬合が発音に影響する可能性について述べた*。
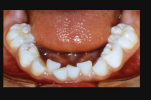
また乳歯の下顎前歯に叢生が認められる小児も、過蓋咬合が多い。(図2)
図2

上顎歯列弓により、下顎が締められて起こるのだろうか?
乳歯齲蝕の洪水といわれた時代において齲蝕処置に悩殺され、現在ほど乳歯の咬合について注意深く見ていなかった。
だから過去の乳歯歯間空隙の頻度については定かでない。
しかし乳歯の叢生だけは、一部の小児を除いてなかったように思う。
一部の小児とは、脳性マヒ児である。
筆者は、これまで数百人の脳性マヒ児の診療にあたってきた。
多くの患児は、口唇閉鎖が十分でないので嚥下することができない。
そのために代償的に、上顎前歯と下口唇を利用し嚥下する。
だから口唇圧により舌側傾斜や叢生を呈するようになる。
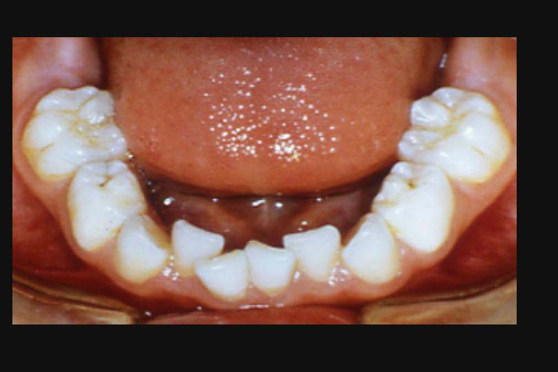
また出生時より経管栄養で育ってきた障害児にも過蓋咬合が多い。(図3)
図3

かつては障害があるため、このような咬合になったと考えていた。
しかし最近では、健康な小児にもこのような咬合が見られる。
いったいこれを、どのように考えればよいのだろうか?
健康な小児が、本来発達すべき所まで達していないのだろうか?
下顎の永久前歯が叢生になるのは、交換期におけるスペース不足である。
しかし下顎の乳前歯が叢生になるのは、まったく異なった問題である。
何故なら、下顎の乳前歯はもっとも早く生えるため、スペースは十分なはずだ。(図4)
図4

ところで切端咬合の乳歯前歯には空隙がある小児が多い。
4歳児の乳歯空隙歯列弓のパノラマレントゲン撮影を行うと、下顎の永久4前歯は顎骨内で並列になっており、
永久歯はきれいな歯列になることは容易に想像できる。(図5)
図5

一方、閉鎖型歯列弓では、下顎の永久側切歯は中切歯より大きく写っている。
これは下顎の中切歯より、側切歯が舌側にあることを意味している。(図6)
なんらかの対策が必要だ。
図6

さらに乳歯の下顎前歯にわずかに叢生が見られる症例では、永久歯の下顎前歯はひどい叢生を呈しており、
永久歯列ではさらにひどくなるだろう。(図7)
これらの3症例を見比べると、被蓋が深くなるにつれ顎骨内の下顎永久前歯の問題が増加する。
図7

さてそれでは乳歯の切端咬合は、どうして空隙ができるのだろう?
筆者は、切端同士が当たることにより、歯槽骨が添加されて空隙が形成されるような気がしてならない。
乳歯や永久歯が大きくなる傾向にあるとも言われている。
しかし同時に、前歯部の叢生は、前歯の役目が低下していると考えられないだろうか?
(続く・・・・・)
図1:最近、乳歯の過蓋咬合が目立つ。
図2:乳歯なのに叢生の場合、過蓋咬合であることが多い。
図3:経管栄養の障害児にも過蓋咬合が目立つ。
図4:下顎の乳前歯は、スペースがあるのにどうして叢生になるのだろう?
図5:乳歯の切端咬合は、空隙歯列弓が多い。
図6:乳歯の閉鎖型歯列弓は、下顎永久側切歯は、舌側へ萌出する可能性が高い。
図7:乳歯にわずかでも叢生があると、永久歯は重度の叢生になる可能性が高い。
また図5・6・7につれ被蓋が深くなっている。
* ビバリーメイル第102号
「咬合と発音機能 」~その1~ — 過蓋咬合と発音 — 2005年7月19日