メールマガジン スマイル+(Plus)

スマイル+(Plus)
アーカイブ(~2019年3月) アーカイブ(2019年4月~)

咬合と発音機能  ~その1~ ※今回から新シリーズです —過蓋咬合と発音—

2005年07月19日

乳歯過蓋咬合を持つ子どもの保護者に、
「お子さんは幼稚園で内向的と思われていませんか?」とお聞きすると、
「園では声が小さいと言われています。でも、どうしてわかるのですか?」
と逆に質問される。
「顔に書いてありますよ。」と冗談で答えているが、これが不思議によく当たる。

もちろん、すべての子ども達に当てはまるわけではない。
当然、過蓋咬合でも外交的な子どももいる。
しかし、過蓋咬合の子ども達は、声が小さく、発音も明瞭ではない子が多い気がする。

このように考えるようになった、きっかけとなった症例を紹介する。

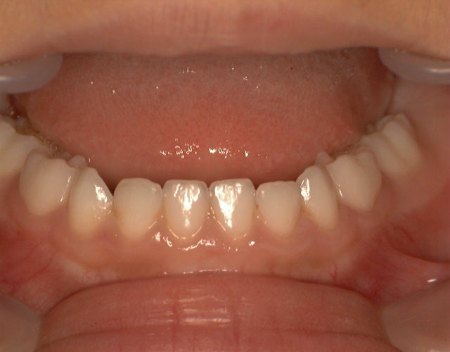
数年前、小児科から紹介を受けた幼稚園年長クラスの5歳男児。(図1)
紹介理由は“言語不明瞭”。
ちなみに三歳児では、三歳のことを“タンタイ”と発音しても問題ない。

 

図1
言語不明瞭を主訴として来院した5歳児

 

しかし、五歳児では、“サンサイ”と発音して欲しい。
“オカアタン”と“オカアサン”も同様である。

これは通常、幼稚園の年少時ではカ行・タ行、年長児ではサ行・ラ行がはっきり発音できるからだ。
 
 
言語不明瞭があると歯科的には、次のことが頭をよぎる。
 (1) 多発性齲蝕
 (2) 唇顎口蓋裂
 (3) 舌小帯異常
 (4) 知的障害
 (5) 二次的要因として核家族・高層住宅に住むなどの理由で、他人と会話する経験に乏しい

ところが、これらにはまったく問題ない。
口の中は、驚くほどきれいである。
唯一ある不正が過蓋咬合であった。
下顎乳前歯がまったく見えず、被蓋は7・8ミリはありそうだ。
 
 
さて最近、幼稚園の歯科健診で過蓋咬合が目立つ。
被蓋は、乳歯の萌出完了から2・3年経つと、咬耗のため浅くなると教えられてきた。

しかし過蓋咬合は、一向に浅くなる気配もない。
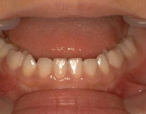
さらによく観察していると、下顎乳前歯が舌側傾斜や叢生になっている。
被蓋が深いため、上顎歯列に締められ、このようになっているように思う。(図2)

 

図2
過蓋咬合のため、下顎前歯が舌側へ傾斜している

 

また狭い歯列弓に、いかにも弱々しい舌が押し込められている。
 
 
ところで言語不明瞭の理由。
筆者は、その一つをこう考えている。

もし切端咬合の子どもが1センチ口を開けて“アー”と言ったとしよう。
そうすると被蓋8ミリで、同じ大きさの声を出すためには、1センチ8ミリ開けなければならない計算になる。
被蓋によって発声のための開口量が変化すると考えられる。

さらに子どもは口が小さい。
一瞬の大声ならできるだろうが、会話をするとなると生理的範囲を超えている。
 
 
そう言えば、筆者が診た若年性顎関節症の、最少齢は5歳である。
開口障害を主訴に来院した。
保護者も何が原因か、まったくわからない。
やはり過蓋咬合なので、開口量を大きくしないと、話が聞きとりにくいという話をした。
そう言えば、保護者に思い当たる節があるという。

理由はこうだ。

「先日、秋祭りがありました。そこで、この子は始めて御神輿を担ぎました。何時間も “ワッショイ・ワッショイ”と 大声を出していたのですが、その次の日から口が開かなくなったのです。」

長時間の過開口が顎関節症を引き起こしたと考えられる。
咬合が、発音機能と深い関係があることがわかる。
 
 
次回は、舌機能と発音との関係について述べる。

——————————————————————————–
図1:言語不明瞭を主訴として来院した5歳児
図2:過蓋咬合のため、下顎前歯が舌側へ傾斜している。
——————————————————————————–