メールマガジン スマイル+(Plus)

スマイル+(Plus)
アーカイブ(~2019年3月) アーカイブ(2019年4月~)

おもしろ唾液学~その5 【唾液緩衝能と唾液流出量との関係】

2004年02月02日

前回、唾液緩衝能テスト(CAT21バフ)の使用法について述べた。
 
 
さて、唾液のpHと唾液緩衝能はどう違うのか?唾液の緩衝作用は、どのような物質によるものなのか? 唾液流出量と齲蝕との関係は? など、さまざまな質問を受けたので、これらに答える。

誤解されやすいのであるが、ステファンのカ-ブで示されているpHは、唾液ではなくプラーク中のpHである。(図1)

 

図1

 

プラークのpHが元に戻るのは、緩衝物質である重炭酸塩がプラーク中に拡散し、酸を中和するためである。

従って唾液のpHが、プラ-ク中の酸を直接に中和しているのではない。

この重炭酸塩は、細胞の呼吸に由来する。細胞の内呼吸により二酸化炭素が血液中に排出される。

これが血液中の水分と結合し酵素により、血液中では重炭酸塩の形で存在し、肺に到達すると、再び酵素により水と二酸化炭素となり呼気により、体外に排出される。

この重炭酸塩の存在により血液のpHも一定に保たれている。この点についてはすでに述べた。

 
さて唾液は、血液由来の物質のため重炭酸塩も含まれている。

しかし炭酸塩は、導管を通過するときに再吸収される。そのため、唾液の流出量と緩衝作用は、正の相関関係にある。

また咀嚼時に分泌される刺激唾液は、再吸収される前に導管を通過するため、安静時唾液より緩衝作用が約20~30培強い。

齲蝕が、夜に作られるのは、唾液流出量の減少のみならず、緩衝作用も低下するためである。

 
ところで、唾液緩衝能と齲蝕罹患状態との関係についての報告は多いが、刺激唾液の流出量ととの関係については少ない。

わずかに、成人の根面齲蝕との関係は認められているのみである。

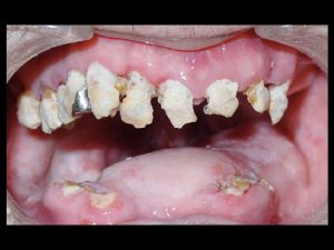
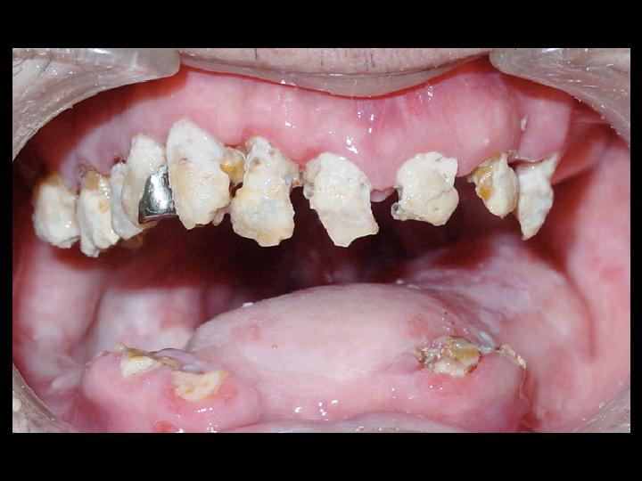
齲蝕との関係がみられるのは、放射線治療など唾液腺が損傷を受けた場合など、極端に唾液流出量が少ない場合に限られている。(図2  姫路赤十字病院 神谷祐司先生提供)

 

図2

 

この理由として刺激唾液の分泌は、日中の限られた時間しか分泌されず、大半が安静時唾液であることがあげられる。

渡部によれば、5歳児の平均睡眠時間は9時間20分、食事時間1時間20分(刺激唾液)、起きている時間13時間15分(安静時唾液)としており、刺激唾液は、安静時唾液の1/10の分泌時間にとどまっている。(図3)

 

図3

 

疫学調査で唾液流出量と齲蝕との間に関連が認められないのは、刺激唾液によるもので、安静時唾液では相関性が認められるかもしれない。

しかし、安静時唾液の分泌量を測定することは、時間を要するため一般的とは言い難いのが現状である。
 
 
次回は、唾液流出量や緩衝能を高める方法について述べる。