メールマガジン スマイル+(Plus)

スマイル+(Plus)
アーカイブ(~2019年3月) アーカイブ(2019年4月~)

【2】患者さんに治療の価値をわかってもらうには?

2017年01月16日

「自由診療をもっと増やすにはどうしたらいいか」

歯科医師ならば誰でも考えるこの課題。

今回もエビデンスに基づいた手法で、この課題に取り組んでいきましょう。

さっそくですが、(表1)をご覧ください。

(表1)

Ray&Trope(1995)の論文に出てくるデータです。

この文献で驚くのは、根管治療よりも修復物のクオリティのほうが、歯の寿命には大きな影響を与えているということです。

Trope先生は高名な歯内療法の先生です。

おそらく、「根管治療はとても重要です」と言いたくてこの研究を行ったのでしょうが、
根管治療がいまいちでも修復治療がしっかりなされれば良いという結果が出てしまったわけです。

このことからいえるのは、

「被せ物をしっかり作ってあげるのは患者さんのためになる」

ということです。

当たり前にも聞こえますが、若い先生では

「患者さんに自費診療の被せ物を勧めるのはかわいそう。保険診療の説明だけしておこう」

という方がいます。

でも、長い目で患者さんのことを考えると、
自由診療の説明を受けずに保険の被せ物を入れられてしまうほうがかわいそうなのかもしれません。

私は、被せ物だけを自由診療にする概念を取り払うことも大切だと思っています。

たとえば、この症例はいかがでしょう。

中心結節がある症例では、中心結節に歯髄が嵌入していることが知られています。

この症例を普通に治そうとするとインレーになりますよね。

しかし、通法の形成ではイスムスを形成しているときに露髄してしまうかもしれません。

私はこういった症例の治療をする場合、う蝕を取り除き、
露髄していないことを確認したうえで、コンポジットレジンで修復することがほとんどです。

これを自由診療で行っています。

患者さんは、歯髄を失わなくて済むので自由診療を選択したことをとても喜んでくれます。

少し高額な治療でも、「歯髄を残したい」という患者さんはとても多いと思います。

そのような患者さんに応えてあげられる準備をすることも、
私たち歯科医師の大切な使命なのではないでしょうか。

別の視点からも、「なぜ、自由診療の患者さんが増えないのか」を考えてみましょう。

たとえば、

「私は保険を中心に診療をしている。私の地域の患者さんは保険診療で満足する人が多い気がする」

とおっしゃる先生は多いと思います。

しかし、近くにインプラント治療など自由診療をメインにしたクリニックができ、
患者さんもたくさん来院していると目にしたら、その先生はきっとこう考えます。

「経済的に余裕のある患者さんをあのクリニックに取られてしまっている!」と。

しかし、果たしてその考え方は正しいでしょうか。

経済的に余裕のある患者さんに来院してほしいのであれば、その先生も同様のスタイルにすればよいのです。

夜遅くまで診療していつも混んでいるならば、その先生も遅くまで働けばよいのです。

でも、それをしないのには根深い問題があります。

その答えは「ホメオスタシス」です。

すべての生物には「恒常性」という機能が備わっています。

保険を中心に診療されている先生は、「保険で診療する」ことに慣れてしまっているのです。

そこで、私がいちばん申し上げたいことは、「本当に自由診療をしたいですか?」ということです。

保険診療を1日精一杯行おうとすると、20人の患者さんを診るのはかなり時間的に厳しくなってきます。

1人の患者さんの平均点数を500点と仮定すると、10,000点前後になります。

それでは経営的にかなり厳しいかと思います。

一般的なビジネスモデルに当てはめた場合、人件費は売り上げの20%以内に収める必要があります。

月の売り上げが200万円とすると、人件費には40万円前後しか割けなくなってしまいます。

福利厚生を充実させようとすると、1人しか雇用できなくなって診療に支障をきたします。

しかし歯科衛生士が1人平均700点で1日10人メインテナンスを行ってくれるとすると
売り上げは340万円になり、人件費に割ける金額は68万円。

保険のみの診療形態でも全然変わってきます。  

最後に、「そもそも自由診療とは何なのか」についてお話ししたいと思います。

普段、私たちは蛇口をひねれば水が出てきます。

そのコップ1杯の水にいくらの価値があると思いますか?

ほぼタダのようなものでしょう。

でも、もし砂漠で遭難した場合、1杯の水の価値は非常に高くなるでしょう。

つまり、ロケーションが異なるだけで価値は何百倍にもなるのです。

歯科でこれを当てはめるとどうなるでしょうか。

世の中の多くの人は、歯を抜くことを絶対に嫌がります。

じつは、この心理を使うことがいちばん容易と思われます。
 
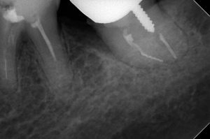
たとえば、下顎左側第二大臼歯の近心根に破折ファイルが認められます。

自発痛が強く、他院では抜歯してインプラントを勧められました。

当院で破折ファイルを除去したところ、とても喜んでくださいましたが、

「次回は土台を立てるので、自由診療か保険診療か選んでくださいね」

と患者さんに伝えたところ、

「先生、保険でお願いします」

という答えがかえってきました。

私は信じられず、とても驚いたことを記憶しています。

さて、このケース、何が悪かったのでしょうか。

それは伝え方です。

もし初診のときに、

「破折ファイルを除去できるどうか難しいところです。次回の治療で頑張りましょう」

とお話しし、次回来院時

「うまく除去できました。良かったですね」

というごく普通な流れだったとします。

これだと、次も保険診療になる可能性が高いです。

患者さんは保険診療、自由診療にかかわらず「治せて当然」という感覚があるからです。

では、どういう伝え方をすべきだったのでしょうか。

「破折ファイルの除去はとても難しいのです。他院で勧められたように、抜歯してインプラントになるかもしれません。しかし、運よく除去できて保存できるかもしれません」

という前振りをします。

2回目以降でファイルが除去でき、

「頑張った甲斐がありました。うまく治せそうです。本当によかったですね」

と言ってさしあげます。

すると、患者さんとしては

「抜歯してインプラントになったかもしれない歯を残してくれる治療をしてもらえた。インプラントくらいの価値がある治療をしてもらえたんだ! せっかく残してもらえた歯だから、良い被せ物にしてもらおう」

という心理になります。

有名な話がありますが、
似たような3,000円の商品と、5,000円の商品を陳列すると、
多くの人は3,000円のものを買います。

しかし、3,000円、5,000円の商品の隣に10,000円の似たような商品を陳列すると、
多くの人が5,000円のものを買うそうです。

「松竹梅」で、「竹」が一番多く売れることを見込むイメージです。

10,000円のものもあるというイメージが買い手に伝わらないと、
5,000円を出す価値が本当にあるのか、買い手にはわからないのです。

頑張ってファイルを除去できても、そのことに「価値がある」とわかってもらえないと意味がないのです。
 
第2回はエビデンスに基づく自由診療のコンサルについて解説しました。

先生方の明日からの診療にお役に立てたら幸いです。

注:なお、破折ファイルの有無は予後に関係ありません。あくまで伝え方の例として提示させていただきました。

ほうじょう歯科医院 新日本橋
北條 弘明
http://www.hojoshika-shinnihonbashi.com/