2014年05月01日
現在、モンゴルの首都ウランバートルでは、乳歯う蝕の洪水ともいえる時代を迎えている。
モンゴル4歳児の1人平均dmf歯数は9.25歯であるが、これはわが国で最も高かった昭和38年(1963年)の8.5歯よりさらに多い。
(昭和38年度 厚労省歯科疾患実態調査)
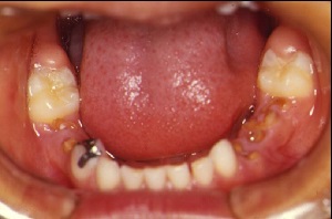
そこでモンゴルでの歯学教育の一環として、子ども達の現状を知らせることが先決だと思い、口腔内写真を撮影しう蝕の実態を提示した。
(図1)

また乳歯う蝕が多いと永久歯う蝕も増加する。
これを理解させるため次の図を見せた。
3歳で乳歯う蝕のない小児は、12歳での永久歯う蝕の平均は約3.4歯。
ところが9歯以上の群は約7歯と、約2倍のスピードで増加する。(注1)
ちなみにこの状態でう蝕が増え続けるとすると、う蝕なし群では60歳で約27歯。
一方、9歯以上群では約53歯となる。
ヒトの歯は28歯であるから、これではワニなどのようにたくさんの歯がないと間に合わない計算だ。
(図3)

そんな話をすると学生は笑顔になる。
続けて乳歯う蝕処置の予後について紹介した。
乳歯う蝕の処置後、どの程度機能を果たしたか?
修復1年後の機能歯率は77.8%、2年後では55.1%、3年後では38.9%となっていた。
すなわち乳歯修復物の大半は、2年半に満たないのである。(注2)
もし、この状態で単に治療だけを繰り返していたら、将来どのような状態になるだろう?
きっと小学校へ入学する頃、乳歯は残根になるだろう。
(図6)

第1大臼歯は、まだ健全なので乳臼歯の抜歯で処置終了とする。
しかし次に、上顎永久前歯が萌出するとこのような状態になるに違いない。
単にう蝕処置の繰り返しのみでは、健全な永久歯の獲得にはつながらないことを伝える。
言い換えれば、処置法のみを教授する教育では、根本的な解決にならないことがわかる。
歯に穴が開いた状態を見て”う蝕”ということは誰でも言える。
しかし私達の腕とは、患者さんが見えないことまで見抜く力を持つ。
つまり”時間軸から口腔を診る”ことなのだ。
続く
注1:岡崎好秀、他:幼時期から学童期にわたるう蝕罹患状態に関する経年的研究、小児歯誌、36:677-683、1998.
http://okazaki8020.sakura.ne.jp/cgi-bin/1999-1.pdf
注2:岡崎好秀、他:小児歯科の定期健診の必要性に関する研究 -第1報 乳歯修復物の機能年齢について-、小児歯誌、38:1100-1105、2000.
http://okazaki8020.sakura.ne.jp/cgi-bin/2000-1.pdf
前 岡山大学病院 小児歯科 講師
モンゴル健康科学大学(旧:モンゴル医科大学) 客員教授
歯のふしぎ博物館 館長(Web博物館)
岡崎 好秀
⇒ http://leo.or.jp/Dr.okazaki/