メールマガジン スマイル+(Plus)

スマイル+(Plus)
アーカイブ(~2019年3月) アーカイブ(2019年4月~)

避難所における食生活と齲蝕

2011年06月06日

忘れもしない1995年4月1日。

3歳の男児が初診で来た。

保護者は、「今朝、この子の口を見たら、前歯がむし歯でまったくなかったので驚いて来ました」と言われる。

しかし・・・である。

一緒に生活しているのだから、気がつかないはずはない。

不思議に思い「どうして今朝、気がついたのですか?」と聞いたら、思わぬ言葉が返ってきた。

「阪神・淡路大震災で家が全壊し避難所で過ごしてきたのですが、これ以上住めないと思い、先週こちらに引っ越してきました・・・。この子も全壊した家から3時間後に助け出されたのです。」

さらに「震災の直前に3歳児歯科健診を受けたのですが、むし歯はないと言われました。」

しかし口腔内には、C2・C3が14本も見られる。

どうして、こんな短期間に齲蝕ができたのだろう?

そこで、その理由を尋ねた。

「避難所に行ったら、環境の変化にとまどいこの子が泣き始めたのです。

 

(図1)

 

そうすると、他の避難者から“うるさいから他の避難所に行け!泣かないようになったらいてもよい!”などと言われました。」

一瞬、“何と大人気ない”と思った。

 

(図2)

 

しかし冷静になると、

“誰もが混乱し、気が立っている時期だから・・・”

とも思える。

「そこで泣かさないように、避難所にあったお菓子ばかりを与えていました。」

 

(図3)

 

なるほど・・・。

そんな生活では無理もない。

短期間に齲蝕が多発した理由がよくわかる。

 

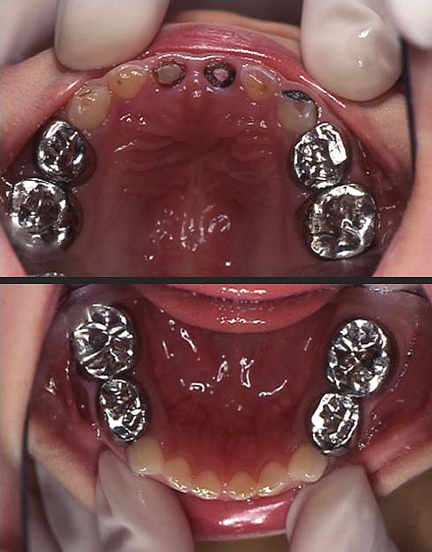
(図4 処置終了後の口腔内写真)
処置終了後の口腔内写真

 

先月、岩手の被災地に行った時。

避難所の保健師が、

「お菓子ばかりなので、乳幼児を持つ保護者から何とかして欲しい!」

と言われたそうだ。

そこで、乳幼児を持つ家族だけ、別室にしているとのこと。

きっとこれから被災地では、乳幼児の齲蝕が増加することだろう。

救援物資のあり方、もう一度考えるべき時期に来ているように思う。

ついでに先ほどの3歳児。

なんと! 3年後に円形脱毛症が出始めた。

PTSDによるものである。

被災地の子ども達の“心のケア”今のうちに充分しておきたいものである。

注:PTSD(Post Traumatic Stress Disorder):心的外傷後のストレス障害

 

>>岡崎先生のホームペ-ジ
http://leo.or.jp/Dr.okazaki/