メールマガジン スマイル+(Plus)

スマイル+(Plus)
アーカイブ(~2019年3月) アーカイブ(2019年4月~)

比較は、理想ではなく過去とする。

2008年07月22日

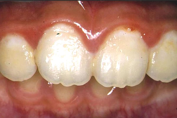
ここに1枚の写真がある。
これは診療室で撮影した小学校2年生のものである。

 

(図1)
小学校2年生の前歯

 

さて、この写真を見てあなたはどう思われるだろう?
「歯肉が腫れている。」
「歯頸部が白濁している。」

そんなことから、常時歯頸部には歯垢が付着していると思われる。
また、わずかな出血から、診療室に入る直前に歯を磨いたとも推察される方もおられるだろう。
いずれにせよ、もう少していねいに歯頸部を磨く必要があるというのが一般的な意見だろう。

ところでだ。
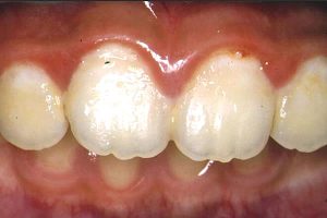
次の写真は、患児が1週間前に初診で来たときのものである。

 

(図2)
小学校2年生の前歯(初診時)

 

これを見て驚かされる。

1週間前は、もっと多量の歯垢が付いていたではないか・・・。
歯肉炎や白濁があるとはいえ、1週間前より良い状態である。
冒頭の写真の状態で、「もう少していねいに・・・」と言ってしまえば、患児の努力は泡となる。
これでは良好な信頼関係は得られない。

どうも我々は、“悪いところ探しをするクセ”を持っているようだ。
いつの間にそんなクセが付いてしまったのだろう?
きっと雑誌などで、理想的な口腔の写真ばかりを見ているからに違いない。
理想像と比較をすれば、目の前の口腔が悪く見えてしまう。
そう!
比較すべきものは、理想ではないのだ。
それでは何と比較すべきなのか?

この答えは“過去”である。
“過去”と比較すれば、良いところ探しがたくさんできる。

 

(図3)

 

患児の努力が見えてくる。
そのためにも写真で記録したり、カルテに一筆書いておく。
これが良いところ探しをするコツとなる。
さあ!
良いところ探しをする目を持って、
信頼関係を揺るぎないものにしようではないか!

 

>>岡崎先生のホームペ-ジ http://leo.or.jp/Dr.okazaki/