メールマガジン スマイル+(Plus)

スマイル+(Plus)
アーカイブ(~2019年3月) アーカイブ(2019年4月~)

口呼吸がなぜ増えるのか? その1

2008年03月03日

最近、口をポカ~ンとあけている子どもや若者が気になってしかたがない。そんな子どもが以前より増していると思う。口呼吸をしている子どもの口唇は、厚かったり、上唇が山型をしているのですぐわかる。それに、歯肉が硬く腫れている。

 

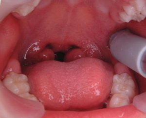
(図1)
口呼吸性の歯肉炎

 

口呼吸性の歯肉炎だ。プラークの付着による歯肉炎とは異なり、歯を磨いても治らない。外気がそのまま、歯肉に当たるので肥厚するのだ。さらに、扁桃腺を見てみると、腫れている子が多い。

 

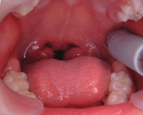
(図2)
扁桃腺の腫れ

 

これも外気のせいである。そこで、幼稚園や小学校で口唇閉鎖力を測ってみた。
そうすると、口唇閉鎖力の弱い子ども達は、
1:風邪でよく休む
2:遅刻や早退が多い
3:扁桃腺肥大の既往がある。という結果が出た。

 

(図3)
扁桃腺肥大の既往の有無

 

そもそもどうして口呼吸が増えているのか?一つは、アレルギー性鼻炎のため、鼻で呼吸をすることができず口呼吸となる。また治癒しても、そのクセが持続すると考えられる。しかし、他にも原因があるように思う。30年来、私は障害を持つ子ども達の診療に携ってきた。これらの子ども達には、口呼吸が非常に多い。かつては、障害を持つから口呼吸が多いと考えてきた。例えば知的障害児では、口腔周囲の筋緊張が弱く、口が開いてしまうケースが多い。脳性マヒ児では、口唇閉鎖が下手なため、異常嚥下癖につながってしまう。

それでは、一般の子ども達にも増えていることは、何を意味しているのだろう?
ひょっとしたら、本来獲得されうるレベルまで、口腔機能が発達していないのではなかろうか?これも、軟らかい食事をしているからではないか?「口は、食物が最初に入る場所であるから、食物が変われば最初に変わるのは口である。
」これは、私の持論である。齲蝕もしかり、歯周疾患もしかり、顎関節症もしかり、唾液分泌量の低下もしかりである。

さて扁桃腺が腫れている子ども達の、X線側貌セファロ写真を撮影してみた。まず、鼻呼吸をしている男児。

 

(図4)
扁桃腺が腫れている子ども達のX線側貌セファロ写真

 

ピンクは咽頭後壁。黄色は軟口蓋である。軟口蓋と咽頭後壁の間にが、気道が見える。これが正常像。次に、鼻閉のため口呼吸をしている男児。

 

(図5)
鼻閉のため口呼吸をしている男児のX線側貌セファロ写真

 

鼻腔が曇っているから口呼吸を余儀なくされる。そのため直接外気が当たり、口蓋扁桃が腫脹している様子が見てとれる。青の部分であるそこで著しく気道が狭窄している。そうか!口呼吸をしている子ども達が、意欲に欠けるのは酸素の供給量が少ないためではないか・・・。扁桃腺の腫脹のため、咽頭部では酸素の通過障害が起きているに違いない。これでは、勉強どころではないな・・・。

しかし・・・だ。
現在、耳鼻科に紹介しても扁桃腺の除去をするケースは極めて少ない。ならば、歯科医師の立場から、口呼吸の予防や改善方法を考える必要があるのではないか。

(続く)

 

>>岡崎先生のホームペ-ジ http://leo.or.jp/Dr.okazaki/