メールマガジン スマイル+(Plus)

スマイル+(Plus)
アーカイブ(~2019年3月) アーカイブ(2019年4月~)

実践 早期治療:咬合誘導から始まる生涯メインテナンス【3】咬合誘導を学ぶには?[1]

2019年02月01日

(1)なぜ、GPにとって咬合誘導~矯正が難しいのか?


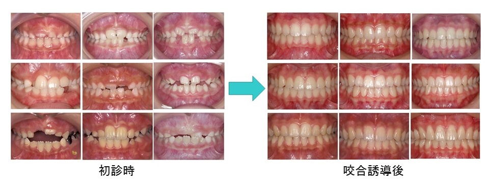
図1 咬合誘導によって獲得した健全な永久歯列。

図1は当院において、幼児期から小児期の成長発育期の早期に、歯並びという顎顔面の限局的な問題解決(狭義の咬合誘導)のみならず、う蝕・歯周病予防から食事指導・健康教育まで、包括的に小児歯科的処置(広義の咬合誘導)をして健全な永久歯列まで完成させた症例である。
咬合誘導(広義の咬合誘導)において、歯並びという顎顔面の限局的な問題解決(狭義の咬合誘導)は大きなウエイトを占めている。
それらを解決するためには矯正の知識および技量の習得は不可欠であるが、なぜ矯正は一般歯科医師(以下GP)には難しいのだろうか?


図2 GPにとって矯正治療は想像できにくい。

たとえば、審美的なブリッジからクラウンならば、著名な審美補綴家のようにはできなくても、日常臨床でブリッジからクラウンまでつねに行っている。
歯周外科やGTR、エムドゲイン、リグロスなどフラップ手術をともなう処置も、歯周膿瘍や埋伏智歯などの切開処置を行っていれば、たとえできなくとも想定の範囲である。
インプラントも極言であるが、日常抜歯を行っていれば、きっとこの抜歯窩のように歯槽骨にドリリングをし、そこにインプラントを植立すればよいだろうことは想像がつく。
このようにGPにとって、審美補綴・審美修復、歯周外科、インプラントは日常臨床から想像できる範疇なのである。

ところが矯正は、ほとんど多くのGPは卒後、自分で学ばない限り学ぶ機会はまったくなく、学生時代に大学で習った段階で止まったままとなっている。
その後、勤務または開業して、一般臨床を行うようになっても、補綴治療、歯周治療、歯内治療や抜歯などの外科治療に追われ、矯正は日常臨床にまったく存在しない。
それゆえ図1左の初診時のような症例が来て、図1右の咬合誘導後にこのように矯正で治るだろうということは教科書的にはわかっても、その中間の治療法がまったく想像できないのである。

要は、治療法が想像できない!⇒矯正は難しい!のである。
矯正を学べば、けっして簡単にはならないが、まったくできないという苦手意識は軽減される。

(2)矯正が難しい! GPにとってのもうひとつの理由


図3 早期治療トラブル回避のために必要不可欠な基本検査。

GPが矯正を難しいと思う最大の理由は、矯正専門医としてはこれがなくては矯正が始まらないといっても過言ではないほど、大切な基本検査の頭部X線規格写真(セファログラム)である。

ある歯科雑誌のGP矯正の記事に「GPにとってセファログラム分析の導入は敷居の高いものです。セファログラム撮影のためのX線機材やX線室の拡張にかかる工事、セファロ分析の煩雑さなどがその理由です」とあり、セファロ分析をしないで済むという「GPでもでも簡単に導入できる軟組織プロファイル分析法」を薦めていた。

セファロ分析が難しいというGPの理由が 経済的理由、単にセファロ分析が煩雑、という2つなのである。
設備も揃えず大切な検査を軽視することはまったく理由にならない。
もし、自分の子どもの歯並びが悪くて、矯正治療を受けたい時に、このような歯科医師に矯正を任せることはできるのか。

セファログラムを撮影しないで行う矯正、その言い訳のために、顔の側貌写真だけの「軟組織プロファイル分析法」に帰着する安易さ。
軟組織分析で硬組織を分析しようとしているが、軟組織と硬組織のプロファイルにはまったく相関性はなく、痩せている、太っているに影響され、骨格性なのか歯性なのかわかるはずはない。

セファロ分析が難しいというGPの理由が「経済的理由」は、矯正を行う限り、X線機材やX線室の拡張にかかる工事は必要最低限な投資と覚悟しなければならない。
「単にセファロ分析が煩雑」は慣れでしかない。
慣れてしまえば難しくはない。
「軟組織プロファイル分析法」に時間をかけるより、しっかりセファログラム分析をした方が、診断も確実であるし、時間もその2倍はかからない。
セファロ分析をしないための言い訳のような手段を選択するより正当な診断をしよう!

(3)咬合誘導には矯正に関する知識および技量は不可欠!
咬合誘導(広義:包括的に早期に乳幼児~小児にかかわる処置)を実践するためには、歯並びなどの顎顔面の限局的な問題解決(狭義の咬合誘導)は避けて通れない。
そのために矯正に関する知識および技量の習得は不可欠である。
咬合誘導を学ぶ前に、セファロ分析をはじめとする基本検査や診断法、そしてスタンダードエッジワイズ法をまずは習うことをお勧めする。

簡単な症例と難易度の高い症例の見極め方、抜歯基準、矯正開始時期など、やはり基本的な矯正知識を学び、ワイヤーベンディングから始め、マルチブラケットを使用してのタイポドント実習など、基本的な矯正技術は学んでおきたいものだ。

関崎歯科医院 院長
関崎 和夫