2019年02月01日
毎日の臨床でコンポジットレジン(以下CR)修復を行わない日はないといってもよいでしょう。
最近ではボンディング材も簡略化され、製品のほとんどが1ステップになってきました。
実験室での接着のデータをみても最近の各社のボンディング材の性能が著しく向上したと実感できます。
最近のボンディング材の評価は、接着直後の性能評価から耐久性の評価へとシフトしています。
CR修復物の良否は、充填直後にはわかりませんが、1年、2年と経過することによって修復物にさまざまな問題が生じるものです。
最近のCR修復では修復物の脱落や歯髄炎などの重篤な問題が生じることはほとんどなく、小さな破折や辺縁着色などの問題が生じることが報告されています。
その原因を調査するのは困難ですが、一つの要因として接着材料の性能の違いを挙げることができます。
わが国で市販される接着材料の多くは、セルフエッチングシステムであり、2ステップと1ステップに分類することができます。
新製品が毎年のように市販されますが、その多くは1ステップです。
新製品の臨床的評価が出るのはかなり先のことになりますが、そのなかでも、臨床現場で広く使用されている接着材料として、2ステップシステムであるクリアフィルメガボンド2(クラレノリタケデンタル)が挙げられます(図1)。

図1 クリアフィルメガボンド2(クラレノリタケデンタル)。
エナメル質に対する接着では、とかくセルフエッチングプライマーのエッチング力の低さが指摘されます。
これについても2ステップシステムと1ステップシステムとでは事情が異なります。
2ステップシステムであれば、エナメル質に対してリン酸エッチングなしでも十分に接着が可能です。
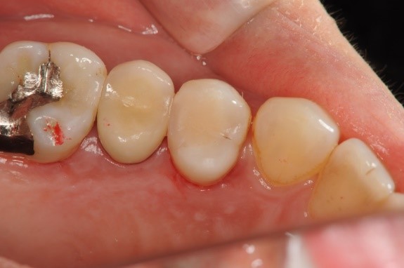
ただし、エナメル質に対して十分なエッチング効果を発揮するために、セルフエッチングプライマーはたっぷり塗布してください(図2)。


図2 2ステップセルフエッチングシステムを用いたCR修復。
一方、1ステップシステムを使用する場合、エナメル質に対してリン酸エッチングを強くお勧めします。
まずエナメル質のみをリン酸でエッチングし、水洗・乾燥後にエナメル質と象牙質両方に対して接着材を塗布する必要があります。
このようなエナメル質への選択的なリン酸エッチングを「セレクティブエッチング(selective etching)」と呼びます。
くれぐれも象牙質にリン酸が流れ込まないように注意してください。
小児のう蝕治療など、限られた時間内での処置が求められる場合、1ステップシステムはたいへん魅力的ですが、ぜひ取扱説明書をよくお読みいただき、接着性能を発揮できる環境下でお使いいただきたいと思います。
朝日大学 歯学部 口腔機能修復学講座 歯科保存学分野歯冠修復学
二階堂 徹